951-444-7777
Smile Gallery
INTRO COMING SOON
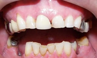
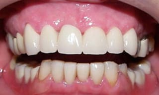
Makeover 1


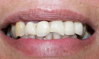
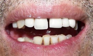
Makeover 2


Makeover 3


Makeover 4


Makeover 5


Makeover 6


Makeover 7


Makeover 8


Makeover 9


Makeover 10


Makeover 11


Makeover 12


Request An Appointment
The staff at Dental Works would love to meet you and your family and provide you with the dental care you need and deserve!
Call Us At 951-444-7777
Request Online